Lentes de Contato Dentais
Arte e Naturalidade
Nossa especialidade. Esculpimos sorrisos, transformando a estética com lâminas de porcelana ultrafinas que mimetizam o dente natural. O resultado é a perfeição em forma de sorriso.


Equipe multidisciplinar e estrutura de ponta para sua transformação.
Agende sua consulta aquiCom tratamentos totalmente personalizados, projetados para atender às necessidades específicas de cada paciente!




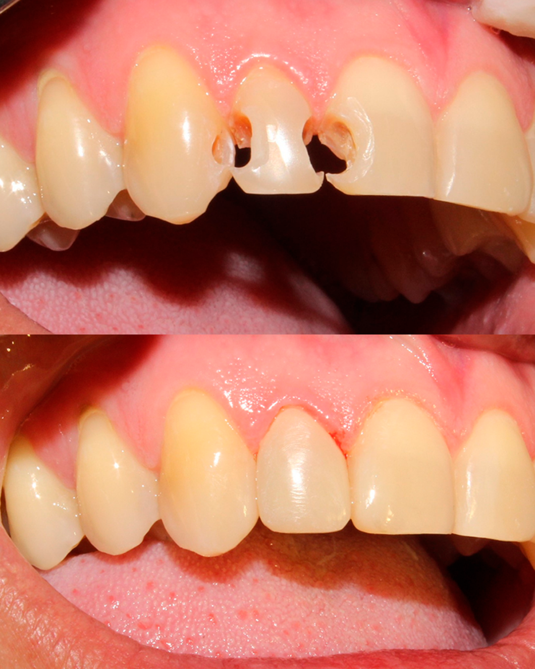
Arte e Naturalidade
Nossa especialidade. Esculpimos sorrisos, transformando a estética com lâminas de porcelana ultrafinas que mimetizam o dente natural. O resultado é a perfeição em forma de sorriso.
Função e Confiança Restauradas
Devolvemos o que foi perdido. Com implantes de titânio de alta tecnologia, restauramos a capacidade de mastigar com segurança e a integridade do seu sorriso de forma definitiva.
Eficácia e Discrição para o seu Dia a Dia
A solução inteligente para alinhar seus dentes. O tratamento é planejado digitalmente para ser rápido, eficiente e praticamente imperceptível, respeitando sua rotina e sua imagem.
Uma Nova Chance para a Saúde e Estética
Para casos mais complexos, criamos um plano de tratamento integrado que restaura a saúde, a função e a beleza do seu sorriso, não importa o ponto de partida.
Diagnóstico
Esqueça os moldes do passado. Sua jornada começa com um mapa 3D completo do seu sorriso, capturado em minutos com conforto e precisão absoluta pelo nosso scanner intraoral. É a base sólida para um projeto sem falhas.
Planejamento
É aqui que a mágica acontece. Como um arquiteto, usamos o mapa 3D para projetar seu novo sorriso em um software avançado. Você participa do processo e vê uma simulação realista do resultado final antes mesmo de começarmos. Zero surpresas, 100% de confiança.
Execução
Com o projeto aprovado, nossa equipe de especialistas, liderada pelo Dr. José Dailson, entra em ação. Cada procedimento é executado com maestria, utilizando os melhores materiais e técnicas para transformar o plano digital em um sorriso real e deslumbrante.
Pronto para iniciar sua jornada rumo ao sorriso dos seus sonhos?
QUERO COMEÇAR MINHA JORNADADeseja sorrir com total liberdade e confiança, sem se preocupar com a aparência dos dentes.
Sonha em corrigir a posição dos dentes de forma discreta e moderna.
Busca a segurança de repor dentes perdidos com uma solução definitiva e estética.
Quer transformar a cor e o formato do seu sorriso, alcançando um resultado natural e harmônico.
Procura uma experiência odontológica que valorize seu conforto e bem-estar.
Exige o mais alto padrão de qualidade e previsibilidade nos resultados do seu tratamento.
Se você se identificou com algum desses desejos, estamos prontos para transformar o seu sorriso!
QUERO TER ESSA TRANSFORMAÇÃOVeja por que nossos pacientes recomendam a Brainer Odontologia!
QUERO TER ESSA EXPERIÊNCIAAvaliações reais de pacientes no Google Reviews
Baseado em 10+ avaliações
Excelente profissional, honesto, possui muito conhecimento, é atencioso e sempre bem humorado. Em outra clínica meu tratamento ia possuía previsão de terminar em 2 anos, nessa clínica terminou em 10 meses e ficou ótimo 😁🙏
Experiência maravilhosa desde a recepção até o atendimento com o doutor. Muito atencioso, me manteve informada de tudo, com detalhes. Excelente dentista!
Atendimento excelente, equipe de profissionais maravilhosa.
Retornei depois de dois anos. Como sempre, o serviço e o atendimento de ótima qualidade.
Sou atendida pelo Dr Dailson desde os meus 15 anos e amo o trabalho dele
Sempre muito bem atendida, qualidade e profissionalismo.
Pronto para ter a mesma experiência transformadora?
QUERO AGENDAR UMA CONSULTAUma estrutura moderna e acolhedora, preparada para oferecer o melhor tratamento odontológico

Área de atendimento Brainer Odontologia

Consultório moderno e equipado

Espaço da clínica Brainer

Recepção da clínica

Equipamentos de última geração

Ambiente acolhedor
Brainer Odontologia Estética
Av. Oswaldo Cruz, 217 – 4º Andar, Sala 408
Maurício de Nassau
Caruaru – PE, 55012-040
Venha conhecer nossa estrutura pessoalmente!
QUERO AGENDAR UMA VISITAPreencha o formulário abaixo e nossa equipe entrará em contato para agendar sua consulta.